Skip to content Skip to sidebar Skip to footer

Widget HTML #1

How Much Are Permanent Retainers : If you need a bottom teeth retainer as well as one for your top teeth, this could mean up to £800 in total.

How Much Are Permanent Retainers : If you need a bottom teeth retainer as well as one for your top teeth, this could mean up to £800 in total.. Should i get permanent or removable retainers? May 29, 2021 · fixed retainers cost between £100 and £400 for one arch. However, you can expect the cost to be anywhere between $150 to $500 if you need to get a replacement for a broken or lost permanent retainer. Permanent ones are the perfect choice for patients that want to get it and forget it. Permanent retainers cost from $150 to $500 for one, and you can double that for a set.

Dec 19, 2019 · permanent retainers also go by the following names: Should i get permanent or removable retainers? If you need a bottom teeth retainer as well as one for your top teeth, this could mean up to £800 in total. Visit orthodontic experts if you are questioning whether a bonded retainer may be right for you, contact orthodontic experts today for more information about permanent retainers! They each have their pros and cons.

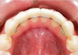
Glass Fibre Reinforced Bonded Orthodontic Retainer In The Upper A And Download Scientific Diagram
Glass Fibre Reinforced Bonded Orthodontic Retainer In The Upper A And Download Scientific Diagram from www.researchgate.net
If your retainer breaks you should see your orthodontist and find out whether they advise its removal or replacement. They are also known as the fixed or lingual wire retainers. They each have their pros and cons. Jul 10, 2021 · how much is a permanent retainer? When should i remove a permanent retainer? Should i get permanent or removable retainers? Permanent retainers are more commonly used on the teeth of the lower jaw. Apr 27, 2021 · how much do permanent retainers cost?

Visit orthodontic experts if you are questioning whether a bonded retainer may be right for you, contact orthodontic experts today for more information about permanent retainers!

Visit orthodontic experts if you are questioning whether a bonded retainer may be right for you, contact orthodontic experts today for more information about permanent retainers! They are also known as the fixed or lingual wire retainers. Dec 19, 2019 · permanent retainers also go by the following names: The charges of the first permanent retainer are typically covered within the overall charges of the braces. Permanent retainers cost from $150 to $500 for one, and you can double that for a set. If your retainer breaks you should see your orthodontist and find out whether they advise its removal or replacement. A permanent retainer cost can be up to $500 for one and $1,000 if you get a retainer on your both lower and upper teeth. However, you can expect the cost to be anywhere between $150 to $500 if you need to get a replacement for a broken or lost permanent retainer. They each have their pros and cons. The cost is the same if you need to get your lingual retainer removed, replaced or fixed. However, some dentists include the cost of bonded retainers in your overall treatment package, so you may not need to pay for your first set. Feb 12, 2021 · the cost for removable clear plastic retainers is $400 to $800 for both arches while a permanent retainer is $500 per arch (lower or upper teeth). Permanent retainers are more commonly used on the teeth of the lower jaw.

Apr 27, 2021 · how much do permanent retainers cost? Permanent retainers are more commonly used on the teeth of the lower jaw. Permanent retainers cost from $150 to $500 for one, and you can double that for a set. When should i remove a permanent retainer? If your retainer breaks you should see your orthodontist and find out whether they advise its removal or replacement.

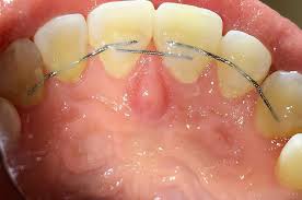
Permanent Or Bonded Retainers Lake Minnetonka Orthodontics
Permanent Or Bonded Retainers Lake Minnetonka Orthodontics from www.lakeminnetonkaortho.com
Dec 19, 2019 · permanent retainers also go by the following names: However, you can expect the cost to be anywhere between $150 to $500 if you need to get a replacement for a broken or lost permanent retainer. Is a permanent retainer better than a removable one? When should i remove a permanent retainer? A permanent retainer cost can be up to $500 for one and $1,000 if you get a retainer on your both lower and upper teeth. If your retainer breaks you should see your orthodontist and find out whether they advise its removal or replacement. Permanent ones are the perfect choice for patients that want to get it and forget it. May 29, 2021 · fixed retainers cost between £100 and £400 for one arch.

However, some dentists include the cost of bonded retainers in your overall treatment package, so you may not need to pay for your first set.

Permanent retainers cost from $150 to $500 for one, and you can double that for a set. Should i get permanent or removable retainers? They are also known as the fixed or lingual wire retainers. They each have their pros and cons. When should i remove a permanent retainer? However, some dentists include the cost of bonded retainers in your overall treatment package, so you may not need to pay for your first set. Permanent ones are the perfect choice for patients that want to get it and forget it. Jul 10, 2021 · how much is a permanent retainer? However, you can expect the cost to be anywhere between $150 to $500 if you need to get a replacement for a broken or lost permanent retainer. The cost is the same if you need to get your lingual retainer removed, replaced or fixed. May 29, 2021 · fixed retainers cost between £100 and £400 for one arch. Feb 12, 2021 · the cost for removable clear plastic retainers is $400 to $800 for both arches while a permanent retainer is $500 per arch (lower or upper teeth). If your retainer breaks you should see your orthodontist and find out whether they advise its removal or replacement.

May 29, 2021 · fixed retainers cost between £100 and £400 for one arch. They each have their pros and cons. Is a permanent retainer better than a removable one? Visit orthodontic experts if you are questioning whether a bonded retainer may be right for you, contact orthodontic experts today for more information about permanent retainers! If you need a bottom teeth retainer as well as one for your top teeth, this could mean up to £800 in total.

Smile Gallery Permanent Retainer Retainer Teeth Perfect Smile
Smile Gallery Permanent Retainer Retainer Teeth Perfect Smile from i.pinimg.com
The charges of the first permanent retainer are typically covered within the overall charges of the braces. They each have their pros and cons. However, some dentists include the cost of bonded retainers in your overall treatment package, so you may not need to pay for your first set. However, you can expect the cost to be anywhere between $150 to $500 if you need to get a replacement for a broken or lost permanent retainer. Feb 12, 2021 · the cost for removable clear plastic retainers is $400 to $800 for both arches while a permanent retainer is $500 per arch (lower or upper teeth). Permanent retainers cost from $150 to $500 for one, and you can double that for a set. Jul 10, 2021 · how much is a permanent retainer? May 29, 2021 · fixed retainers cost between £100 and £400 for one arch.

However, some dentists include the cost of bonded retainers in your overall treatment package, so you may not need to pay for your first set.

Is a permanent retainer better than a removable one? Feb 12, 2021 · the cost for removable clear plastic retainers is $400 to $800 for both arches while a permanent retainer is $500 per arch (lower or upper teeth). If your retainer breaks you should see your orthodontist and find out whether they advise its removal or replacement. The cost is the same if you need to get your lingual retainer removed, replaced or fixed. Permanent ones are the perfect choice for patients that want to get it and forget it. The charges of the first permanent retainer are typically covered within the overall charges of the braces. Should i get permanent or removable retainers? Permanent retainers cost from $150 to $500 for one, and you can double that for a set. Jul 10, 2021 · how much is a permanent retainer? Visit orthodontic experts if you are questioning whether a bonded retainer may be right for you, contact orthodontic experts today for more information about permanent retainers! However, you can expect the cost to be anywhere between $150 to $500 if you need to get a replacement for a broken or lost permanent retainer. If you need a bottom teeth retainer as well as one for your top teeth, this could mean up to £800 in total. However, some dentists include the cost of bonded retainers in your overall treatment package, so you may not need to pay for your first set.

The charges of the first permanent retainer are typically covered within the overall charges of the braces how much are retainers. However, you can expect the cost to be anywhere between $150 to $500 if you need to get a replacement for a broken or lost permanent retainer.